歯周病治療
歯と歯ぐき(歯肉)の間「歯周ポケット」から侵入した細菌が、歯肉に炎症を引き起こし、さらには歯を支える骨を溶かして破壊してしまう病気です。
虫歯とは違って痛みが出ないことが多いため、気づかないうちに進行し、歯が自然に抜け落ちるほど重症になることがあります。
歯周病の症状のチェック
1つでも当てはまる場合、歯周病の可能性があります。
- □ 歯磨きなどで歯肉から出血する
- □ 口臭がするようになった
- □ 口の中がネバネバする
- □ 歯肉が腫れて、膿が出る
- □ 硬いものが噛めなくなった
- □ 歯がぐらぐらする
- □ 歯と歯の間にものがはさまりやすくなった
- □ 歯肉が浮いた感じがする
- □ 糖尿病にかかっている

歯周病は歯肉炎と歯周炎に分けられます
歯肉炎とは
歯と歯肉の境目にプラーク(歯垢)が溜まり、細菌が出す毒素で歯肉が炎症を起こし赤く腫れます。
歯周炎とは
歯肉の炎症が進み、歯周ポケットが深くなったところに歯石が付き、骨が溶けはじめます。重度になると歯がぐらぐらになります。
歯周病治療の流れ
-
- 問診
- 問診票にあわせてお話を伺います。
-
- 検査
- 歯周病の進行段階(ステージ)を確認します。
歯周ポケット検査(プローピング検査)
歯と歯肉の隙間の深さ(歯周ポケット)を測ります。
これにより歯を支えている組織の破壊度がわかります。
測定には、目盛りのついたプロープ(針状の金属製の器材)を歯と歯肉の隙間にそっと差し込み、
歯周ポケットの深さを測ります。
特に痛みはありませんが、歯肉に炎症がある場合は軽く触れただけでも出血があります。〔歯周ポケットの目安〕
- 健康な場合 1〜2mm
- 初期の段階 3〜4mm
- 中期の段階 4〜6mm
- 後期の段階 8mm以上

健康
歯肉炎
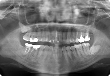
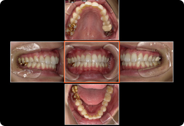
歯周病レントゲン検査・口腔内写真
歯を支えている顎の骨(歯槽骨)の損失具合がわかります。

-
- 治療
- 症状にあわせて歯周病の原因であるプラークの除去や歯石の除去を行います。
ブラッシングのトレーニング
歯磨きで歯垢(プラーク)をしっかりと取り除くことが大切です。
プラーク・歯石の除去
歯周ポケットが4mm以上の深い部分は、歯磨きでプラークを除去することができません。そのため、歯医者で取り除く必要があります。
-
- 再評価
- 治療の経過を確認します。
-
- メンテナンス
- 歯周病の治療は歯石をとって終了ではありません。
検査結果に基づき、ご自宅でのブラッシング方法やハブラシ・歯磨剤の選び方など、ひとりひとりにあったケアが出来るようご提案しております。
患者様が最新の治療を受けていただけるように
森下ベリタス歯科では、口腔内に悩みを抱えて来院される患者様の不安を取り除き、安心して治療を受けていただけるよう心がけています。
日々向上する治療技術を学び、いち早く最新の機器を導入することで、森下ベリタス歯科も進化し続けています。
森下ベリタス歯科は、
高い安全性と信頼の歯科医療を提供することをお約束いたします。



