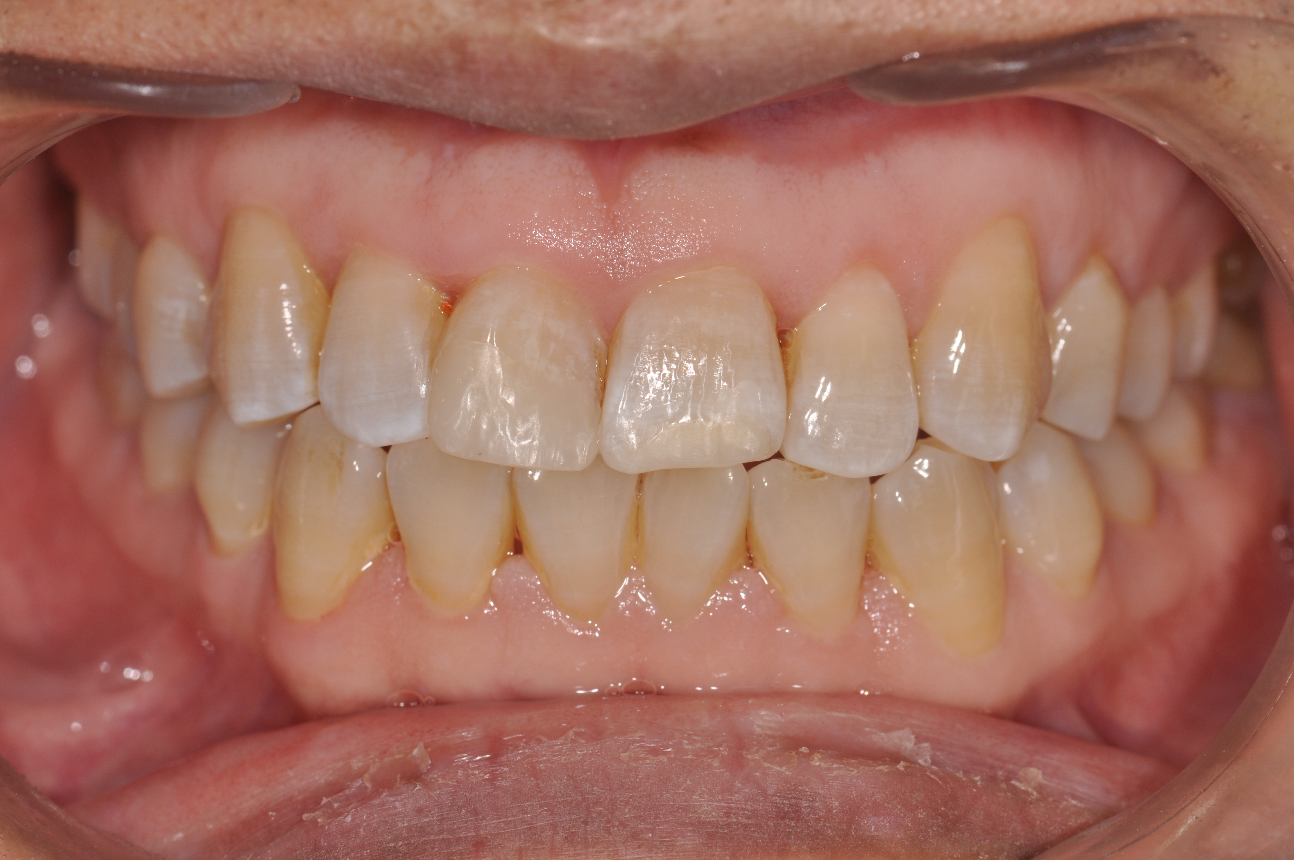
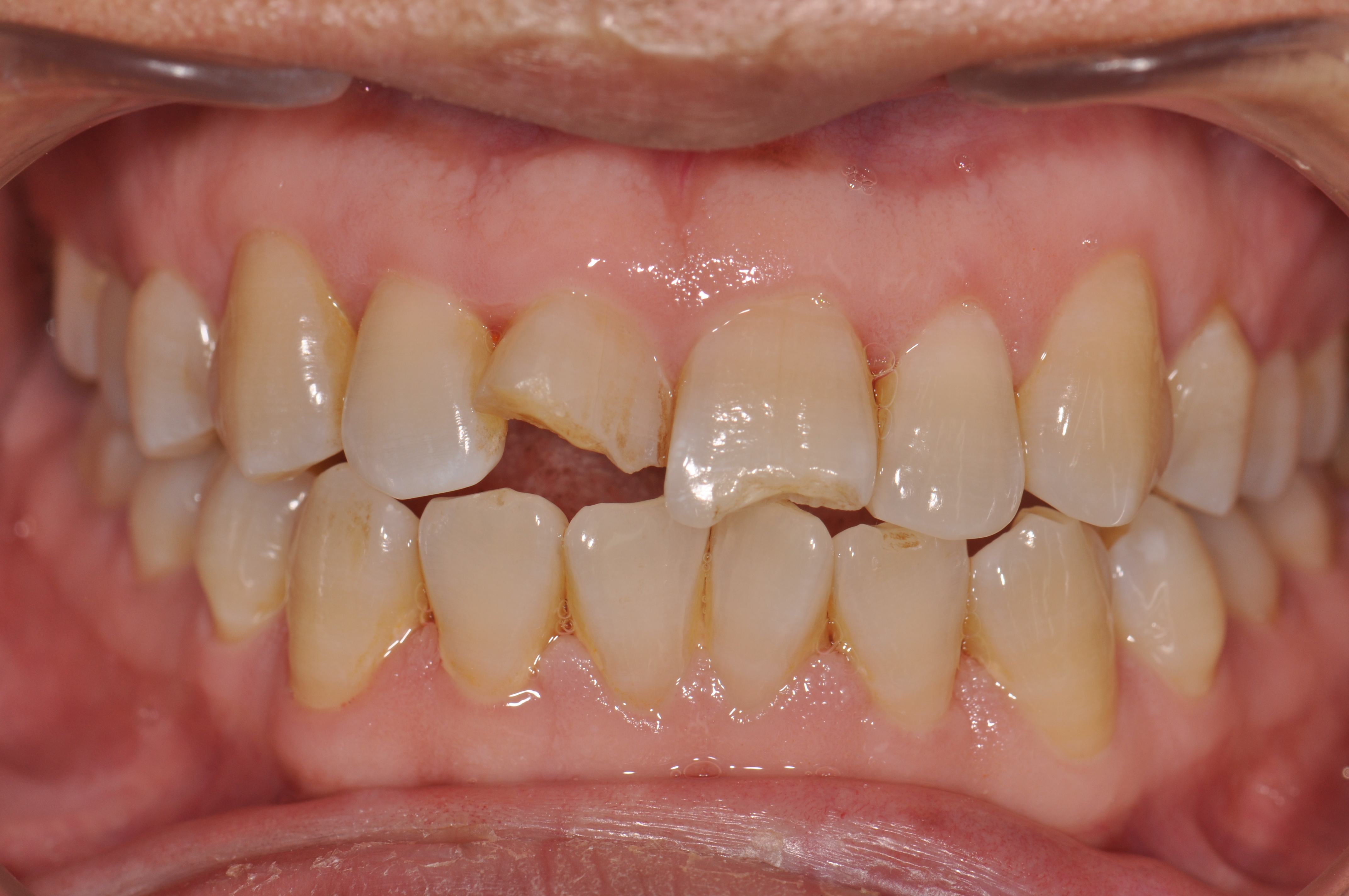
歯が かけてしまった。。
本日 転んでしまわれた患者さまが ご来院されました。お顔も少し傷が ありましたが
身体のは大丈夫と 元気そうにお話いただきまして安心をいたしました。
が、
先生、でも、、これが。。とニコッと笑われると
歯がかけてしまったとのことでした。
応急で何とか。。。ということで治療をいたしました。
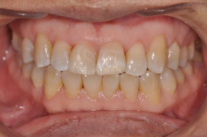
当日の処置ですのでぶつけてしまわれた歯ですので今後の経過をみていきながら
状況の変化がないかの定期確認をしていきましょうということで患者さんにはご満足をいただきました。
なんとか1日で 神経もとらず ほとんどの歯も削らず処置を終えることができました。
前歯は一番 さらされているところですので このようなことは 少なくありません。
可及的に歯を温存して 削らず 治せることが 大切です。
たくさんの診査の上 できる場合 できない場合は どちらもあります。
不慮の事で 患者様はお気の毒ではありましたが、最後は すごくよろこんで帰られました。
前歯がかけると 一番見える歯 (ご自身も 周りからも 一番見えるであります)ですので
前歯が変わると顔の印象も 変わります。いい場合も 悪い場合も あります。
ですので ましてや むし歯 や 歯周病など 歯を失うことは 非常にもったいないことですから
定期的な 予防と セルフケア を 毎日 徹底していきましょう!
━━━━━━━━━━━━━━━━━━━━━━━━━━━━━━━━━━
━━━━━━━━━━━━━━━━━━━━━━
森下ベリタス歯科 MORISHITA VERITAS DENTAL CLINIC
<一般歯科・小児歯科・矯正歯科・口腔外科・インプラント・審美歯科>
「インフォームド・チョイス」(Informed Choice)を基本に考えた
患者様ひとりひとりにあった治療を提供します
--------------------------------------------------------------------
半蔵門線/大江戸線 「清澄白河駅」 A1・A2出口より徒歩3分
新宿線/大江戸線 「森下駅」 A6・A7出口より徒歩2分
--------------------------------------------------------------------
住所:東京都江東区森下2-1-2
お電話によるお問い合わせ:03-5600-4618
メールによるお問い合わせ:info@veritas-dental.com
━━━━━━━━━━━━━━━━━━━━━━━━━━━━━━━━━━
━━━━━━━━━━━━━━━━━━━━━━



