インプラント治療例①
歯の無い部分とのかみ合わせが悪いです。
インプラントとあわせて治るかしら…
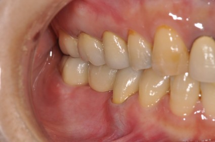
患者様は 右下の歯のない部分と かみ合わせの不調和を感じられ当院に受診されました。
上下のかみ合わせのバランスも一緒に整えた
インプラント治療と かみ合わせのバランスを整えることを 同時に 施術した患者さまです。
治療後は 右の笑顔が上手にできるようになりました!
仕事で大勢のみなさんの前でしゃべることが多いようで非常に満足されて治療を終えられ
今は定期的にメンテナンスにおいでいただいております。



